Posted by writeradmin
I had to have a filling placed on a front tooth in a visible place. The dentist did a white filling, but it did not match the rest of my tooth. When I brought that up he suggested doing dental bonding on four teeth so everything would match. He told me he was much cheaper than other dentists for this so it wouldn’t cost me too much. I compared his price to other dentists and he was right that he was much cheaper. So, I agreed. But, while those four teeth match each other, they don’t match the other teeth. They even look a bit thick and opaque so they look fake. Is this because I went to a cheap dentist?
Lizzie
Dear Lizzie,

I should start by saying there is a difference between cheap dentistry and affordable dentistry. Someone who is significantly cheaper than other dentists usually has a reason that isn’t great for patients. 1. They could be unskilled and have trouble retaining patients. The only way to draw new people into their chair is to be significantly cheaper. 2. They could be new at the procedure or even to the field. This second one isn’t necessarily a bad thing. We all start new at some point. If the case is that they’re new, just ask them if they’re willing to redo the procedure free of charge if you’re not happy with the results. They may say yes because it gives them more practice.
Your fillings could have matched the rest of your teeth. There are different types of filling materials. True cosmetic dentists carry a large amount of materials so they have the ability to truly match the tooth. However, if your dentist is more of a bread and butter dentist who only does cosmetic work every once in a while then they will only keep the basic supplies, which may not be possible to match your teeth.
As for fixing that with dental bonding, that was a bad idea.
- It’s more temporary and will have to be replaced every few years.
- They are not as stain resistant as better options.
- Four teeth was not enough. Most smiles are eight to ten teeth wide.
- Bonding is more useful for tiny repairs, such as a tooth chip or a tooth gap. You were doing whole surfaces.
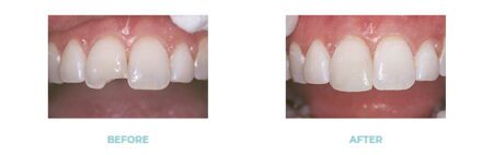
As you can see above, when done by a skilled cosmetic dentist, bonding can blend perfectly. That being said, if you’re doing large surfaces then porcelain veneers are a better option.
You have a couple of options. First, you can replace your bonding with porcelain veneers. These are more stain resistant and they will last decades instead of a few years. Second, if your bonding was put on top of the enamel in the way where it can be removed without damaging your enamel, then you can just remove the bonding and go to a more skilled cosmetic dentist to replace the fillings in the way that matches your teeth. However, if he took off enamel then you will have to either replace the bonding or get porcelain veneers.
This blog is brought to you by a compassionate Baton Rouge Dentist Dr. John Theriot.